🎉 1 Year Anniversary Promotion: GAP-FREE Check up & Clean or $179 (3 months only)✨✨
 Shop 1 299 Old Northern Road, Castle Hill 2154 Sydney
 Shop 1 299 Old Northern Road, Castle Hill 2154 Sydney

Quality & caring dentistry

With over 50 years of combined experience, Dr Jack Yang & Dr Jeff leads our professional team in providing quality General dentistry, Dental Implants to Orthodontics and more. 
Dentist Castle Hill
Welcome to
Beyond Infinity Dental
Over a Decade of Trusted Care
Beyond Infinity Dental is a trusted name in the Hills district, founded by Dr Jack and Dr Jeff with a team that has over 50 years of combined experience in dentistry. Our practice has built a legacy of restored smiles, and patients from across Sydney seek our services.
Advanced In-House Dentistry with
 Dr Jack
One of only eight in Australia performing Pinhole surgery to combat gum recession. We also provide advanced, in-house cosmetic dentistry serving 1000+ happy patients per year.
Unmatched Dental Precision with Our Cutting-Edge Tech
Eliminate the hassle and save time without the need for external referrals. Our state-of-the-art technology includes CBCT, 3D scanning, CAD/CAM, CEREC machines, and more. We’re dedicated to replacing traditional procedures with a more comfortable and precise approach.
Service Highlights: Where Quality Meets Care.
Delivered with Excellence in heart of Castle Hill
Cosmetic Dentistry Castle Hill
Natural-Looking Crowns and Bridges
Enhance your smile and dental function with our durable, aesthetically pleasing crowns and bridges. These restorations not only fill gaps caused by missing teeth, enhancing your smile but also improving your chewing ability and speech clarity. Experience the multifaceted benefits of our custom dental prosthetics.
Smile Makeover Dentist Castle Hill
Design a Smile Makeover
Experience a smile improvement like never before with our Digital Smile Design technology. By merging 3D digital planning with a virtual Smile Trial, you get a glimpse of your stunning future smile, delivered quickly, precisely, and with uncompromising artistry.
General Dentistry Dentist Castle Hill
High-Quality Dental Implants
Our decades of experience in delivering complex dental treatments translate to excellent care for you. Whether you need a single implant, full-arch restoration, bone augmentation or bone grafting, our team ensures a secure, comfortable process, even for our anxious patients.
Orthodontics & Invisalign Castle Hill
Effective Orthodontic Solutions
We offer comprehensive orthodontic treatments using braces or clear aligners tailored to correct all types of malocclusions. These treatments do more than just straighten your smile - they make dental hygiene maintenance easier and more efficient, promoting better oral health.
Exclusive Offers for our Valued Patients
Check-up & Clean Dentist Castle Hill

Check-up & Clean

◉ Comprehensive Exam and Consultation
◉ Gentle professional clean & whitening polish (no extra charge)
◉ Doctor review
◉ Welcome present
◉ World-class care in a state-of-the-art setting
Invisalign Dentist Castle Hill

Invisalign

◉ Complimentary Smile Consultation & X-rays (Savings of $160)
◉ Treatment inclusion: Custom retainers (valued at $600)
Veneers Dentist Castle Hill

Veneers

◉ Complimentary Smile Consultation & X-rays (Savings of $160)
◉ Highly Quality, Natural-looking veneers
◉ Treatment inclusion: Check up & Clean with Veneers treatment
Dental Implants Dentist Castle Hill

Dental Implants

◉ Complimentary Smile Consultation with X-rays (Savings of $355)
◉ Celebratory post treatment gift: Steak & Wine hamper!
◉ New Patient Hygiene Gift
Book your appointment today
◉ New Patient Hygiene kit giveaways
◉ Flexible payment plans
Happy Male Patient
Your Visit Overview
We warmly welcome you Dentist Castle Hill
We warmly welcome you!
You’ll feel the difference once you step into our clinic. Our friendly team will warmly welcome you to the first step towards your new smile. At Beyond Infinity Dental, the priority is you. We do not rush our appointments, and we take all the time needed to listen to you, examine you, and treat you. We’ll work with you to fit your treatments into your budget.
History and Examination Castle Hill
History and Examination
We will start with a detailed discussion about your health history, including current or past health issues, medications, conditions and treatments. This will help our dentist formulate a better understanding of your unique needs. Remember, we are absolutely non-judgmental!
Diagnosis and Treatment Dentist Castle Hill
Diagnosis and Treatment
Our treatment plans are unique, like you. We don’t cut corners, and we don’t compromise. We want the best result for you. We are particularly considerate of our anxious patients' needs and make every effort to support them through their treatment. 

Your Trusted Dental Professionals

Dr Jack Yang
Dr Jack Yang
BDS
A University of Queensland alumnus, Dr Jack Yang has dedicated over 15 years to mastering dentistry, offering unmatched expertise to individuals and families seeking quality care.

Not just an exceptional dentist, Dr Jack runs two successful practices in the Hills district. One of these practices has been recognised for its commitment to excellence, earning the esteemed Local Business Award. After earning his Bachelor of Dental Science, Dr Jack further honed his skills with a 3-year Master of Clinical Orthodontics at the City of London University. His academic achievements are bolstered by prominent certifications including the ICOI Fellowship (International Congress Of Oral Implantologists) and diplomas in Implant Dentistry and Clinical Orthodontics.

Remarkably, Dr Jack stands as one of only eight dentists in Australia trained in the advanced Pinhole surgery for gum recession. He’s also adept in procedures like full arch dental implants and cosmetic smile design, ensuring the harmonious balance of function and aesthetics.

When not sculpting smiles, Dr Jack indulges his culinary passions with family, enjoys extensive travels, and immerses himself in sports, particularly basketball and tennis.
CUSTOM JAVASCRIPT / HTML
Dr Jeff Lin
Dr Jeff Lin
Raised in a town of Dunedin, New Zealand, Dr Jeff, with his gentle and caring nature, has been a dedicated dentist for over 13 years. His passion for science was sparked at the University of Otago, where he earned a Bachelor’s degree in Biochemistry.

He holds a keen interest in cosmetic and implant dentistry, dedicating numerous hours to continued learning and professional development.

Dr Jeff’s approach to patient care is comprehensive and personalised. He takes immense pride in treating every patient as he would his own family, helping them realise their dental aspirations through a friendly and empathetic approach.
Dr Jeff Lin
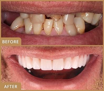
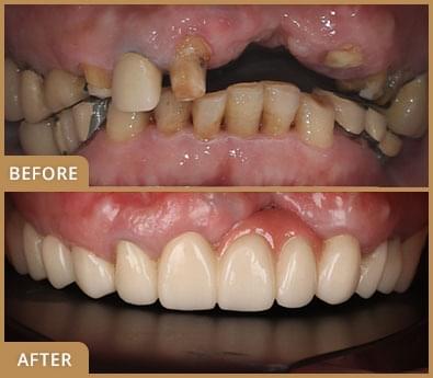
Real Patients. Real Results.
Individual results may vary

Welcome to Beyond Infinity Dental

Welcome to Beyond Infinity Dental, where dental excellence meets compassionate care.

At the heart of Castle Hills, we proudly serve the smiles of the Hills district, with patients travelling from all corners of Sydney to experience our unparalleled care. Dr Jack, Dr Jeff and our dedicated team bring together an unmatched wealth of expertise, ensuring each visit is not only comfortable but also a testament to premium dental artistry. Our patient-centric approach embodies our motto:

“If not for my family, then not for my patients.”
Why Choose Us?
  • State-of-the-Art Technology: From our advanced Trios Digital Scanner to our in-house Digital Implant Centre, we integrate cutting-edge technologies for precision, efficiency, and comfort. Our Digital Smile Design Centre crafts smiles tailored just for you.
  • Exclusive Services: Dr Jack stands as one of the rare eight practitioners in Australia proficient in Perio Pinhole Surgery. Combine that with our unique Infinity Veneers, digital computer-guided minimally invasive implant placement, and wisdom teeth surgery under sedation by our in-house oral surgeon, and it's clear our offerings are unparalleled.
  • Cosmetic Excellence: Looking for a radiant smile? Our laser teeth whitening, Invisalign and ClearCorrect braces, and signature porcelain veneers are here to turn that wish into a reality.
  • Multilingual Team: Catering to our diverse community, our dentists fluently converse in Mandarin, Taiwanese, and English, ensuring no detail is lost in translation.
  • Holistic Care for All: We honour all insurances and pride ourselves on being the one-stop solution for all dental needs. From children's orthodontics to restorative procedures, Beyond Infinity Dental has you covered.
Join our family at Beyond Infinity Dental, where we're "Dedicated to Health and Inspired by Beauty." Your best smile awaits.
Flexible Payment Plans: Investing in Your Smile
At Beyond Infinity Dental, we believe in keeping things clear and simple. After your consultation, you’ll receive a fixed fee for treatment with no hidden costs. To make treatment more manageable, eligible patients can choose interest-free payment plans (up to $50,000).

We know finances are an important part of planning your care, so feel free to reach out and chat with us about the payment options available.
Find us at Castle Hill
Shop 1 299 Old Northern Road, Castle Hill 2154 Sydney
Clinic Hours
CUSTOM JAVASCRIPT / HTML
CUSTOM JAVASCRIPT / HTML
Book your Consultation Now!
◉ 60-90 minute comprehensive consultation
◉ Flexible payment plans
◉ Oral or IV Sedation available for anxious patients
Happy Patient Dentist Bargara
Terms and Conditions
There is no pressure and no obligation to go ahead with treatment.
If you need to cancel your appointment for any reason, please call our office ahead of time so that we can treat other people during your scheduled time.

Prices do vary depending on the complexity of your case.
We’ll share a specific quote and various payment options with you at your consultation.
Payment Plan Offers
Any payment plan offers are subject to approval by the registered payment plan provider.
Dentist Registration Details
Dr Jack Yi-Chieh Yang AHPRA Registration No DEN0001589137, type: General
Dr Jeff Lin AHPRA Registration No DEN0001162767, type: General
Dr David Attia AHPRA Registration No DEN0001858310, type: General
Dr You-Hong Cheng AHPRA Registration No DEN0002440561, type: General
Dr Leazelle Graham AHPRA Registration No DEN0002328642, type: General
Kate Maree Ruiz (OHT) AHPRA Registration No DEN0001856564, type: General
Note: Any surgical or invasive procedure carries risks. Before proceeding, you should seek a second opinion from an appropriately qualified health practitioner.
Patient Images are published with consent and are intended for educational purposes only. Results vary between individuals, and all dental procedures carry risks. Please seek professional advice from your dentist to determine whether a treatment is appropriate for your circumstances.
Want to undergo dental treatment while completely asleep? - We now offer Sleep Dentistry! - Enquire now